Termin buchen

Ellbogengelenksprothese

Eine Ellbogengelenksendoprothese ist eine implantierte Prothese (Endoprothese), die das EllbogenGelenk ersetzt.

Ursachen & Symptome

Im fortgeschrittenen Stadium der Knorpelzerstörung sind meistens mehrere Gelenkanteile betroffen. Es kommt zur Verformung des Ellbogengelenkes und zunehmender Bewegungsenschränkung und Versteifung. Sie verspüren Belastungs- und Ruheschmerzen. Auch nachts sind Sie nicht mehr schmerzfrei. Auf Grund der Bewegungseinschränkung wird es immer schwieriger den Alltag zu bestreiten (Essen, Besteck zum Mund führen, Körperhygiene,...)

Diagnose

Im Röntgenbild zeigen sich zerstörte Gelenkoberflächen, meist verbunden mit sichtbaren Gelenkdeformierungen.

Zeitpunkt der Operation

Wenn alle konservativen Therapieoptionen beim Vorliegen einer Arthrose des Ellbogengelenkes ausgeschöpft wurden und gelenkserhaltende Eingriffe nicht mehr möglich sind, wird die Implantation einer Ellbogen-Endoprothese notwendig.

Operationstechnik

Bei dieser Operation werden die geschädigten Gelenkflächen durch sogenannte Oberflächenersatzprothesen ersetzt. Meist kommen gekoppelte Endoprothesenmodelle zum Einsatz. Durch den Einsatz dieser modernen Prothesentypen muss nur noch sehr wenig Knochenmaterial entfernt werden.

Die Größe der Prothese wird mit Hilfe der präoperativen Planung dem Patienten individuell angepasst. Sie wird in der Regel zementiert implantiert. Im Durchschnitt liegt die Haltbarkeit der Ellbogengelenkstotalprothesen bei 10-15 Jahren. Haltbarkeiten von deutlich über 20 Jahren sind durch moderne Materialien zu erwarten, hängen jedoch zu einem sehr großen Anteil von den Beanspruchungen durch die Patienten ab. Nach der Operation dürfen maximal 5 kg mit dem betroffenen Arm gehoben werden.

Rehabilitation

Gelenkersatzoperationen können ausschließlich stationär (ca. 5-12 Tage) durchgeführt werden.
Die Rehabilitation beginnt sofort nach der Operation. Die Patienten werden täglich mit Krankengymnastik und Lymphdrainage behandelt. Für passive Bewegungsübungen stehen Motorschienen zur Verfügung.
Im Anschluss an den stationären Aufenthalt wird ein Großteil der Patienten für weitere 3-4 Wochen in eine Rehabilitationsklinik verlegt.
Für die gesamte Behandlung ist ein Zeitraum von 6 - 12 Wochen zu kalkulieren.

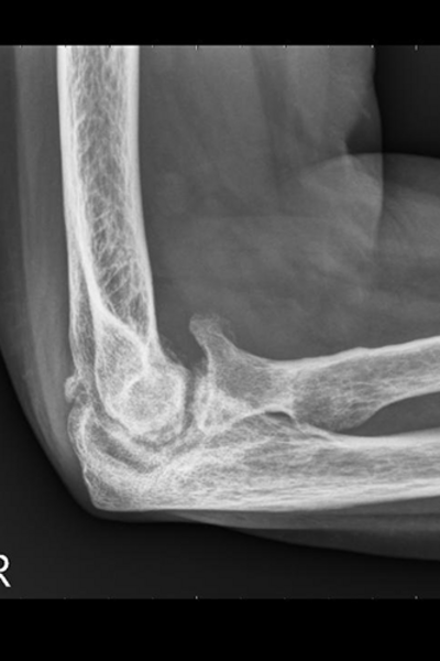
Vorher

Ellbogenröntgen seitlich
Cubitalarthrose Grad 4

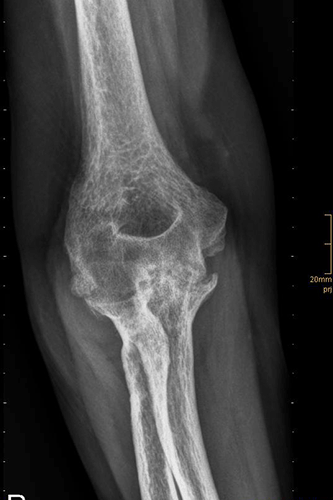
Ellbogenröntgen ap
Cubitalarthrose Grad 4

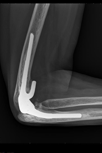
Nachher

Ellbogenröntgen seitlich
Ellbogengelenksendoprothese
2 Jahre nach der Operation

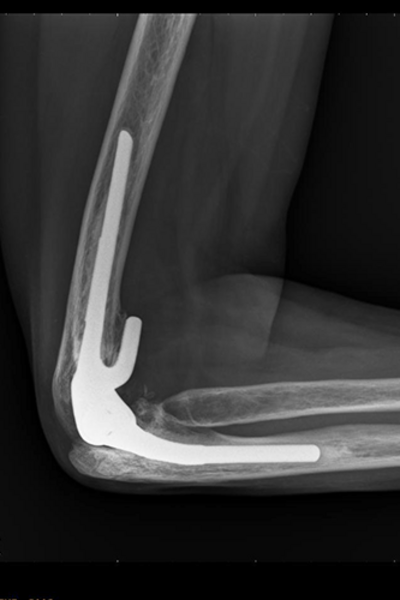
Ellbogenröntgen ap
Ellbogengelenksendoprothese
2 Jahre nach der Operation

Die wichtigsten Fakten

OP Dauer

120 Minuten

Arbeit

nach 4 - 12 Wochen (je nach Belastung)

Anästhesie

Vollnarkose (empfohlen) oder Schmerzkatheter

Sport

Hebebeschränkung bis 5 kg !

Aufenthalt

5 - 12 Tage

Kontrollen

Nahtentfernung - nach 2 Wochen
Klinische Kontrolle - nach 6 Wochen
Röntgen Kontrolle - nach 3 Monaten
Abschlusskontrolle - nach 1 Jahr

Reha

Variante 1: ambulante Reha
Variante 2: stationäre Reha im Rehainstitut ca. 4 Wochen nach der OP

Endresultat

nach 9 - 12 Monaten

Belastung

Schonung bis zur Wundheilung - 2 Wochen
Bewegung ab dem 1. Tag nach der OP erlaubt

Vor der OP

4 Wochen vor OP - Anästhesie Begutachtung
1 Tag vor OP - stationäre Aufnahme

Physiotherapie

sinnvoll

Nach der OP

auf ausreichende Flüssigkeitszufuhr achten, lokale Kühlung, um etwaige Schwellungen zu reduzieren

 

Welche Risiken gibt es?

Infektion (<2%), Hämatom (Bluterguss), Restbeschwerden, Schwellung (bis zu 6 Monate),  Thrombose (Thromboseprophylaxe wird standardisiert verabreicht) 

rechter Außenmeniskus
super schnelle Terminvereinbarung, mir wurde alles genau erklärt, schnelle, freundliche zuvorkommende und nette Betreuung, habe mich auch auch während der OP wohlgefühlt, alles optimal gelaufen! DANKE!

sehr zufrieden
Von Anfang bis Ende sehr zufrieden!

Hüft OP
alles perfekt!

Herr Dr. Hochgatterer ist ein sehr kompetenter Arzt
Er ist sehr nett und behandelt die Patienten auf Augenhöhe

Meniskus OP
Bin sehr zufrieden mit dem gut organisierten Abläufen. Zeit für aufklärende Gespräche ist auch. Eine weitere anstehende OP wurde organisiert.

Knieprothese rechts
OP sehr gut verlaufen. Keine Schmerzen nach Spitalaufenthalt. Nach Reha fast wieder normales Gehen möglich

Arzt sehr kompetent
Arzt sehr kompetent, hat sich Zeit genommen f. ein Gespräch, Terminvereinbarungen sehr kurzfristig!

Sehr zufrieden
Ich war sehr zufrieden

Es ist ganz normal, bestmögliche Beratung und Behandlung zu bekommen
Diesen Eindruck kann ich aus eigener Erfahrung wiedergeben. Man merkt, wenn man willkommen geheißen, dann gut und offen beraten und informiert wird, und schließlich nach erfolgter Operation (Meniskus) erstaunlich schnell wieder dem "normalen" Leben nachgehen kann! 
In der Erinnerung meldet sich große Dankbarkeit und Freude, diese Wahl getroffen zu haben.

Knie Behandlung
Die Injektionen ins Knie hatten Erfolg, doch nicht auf Dauer. Das Knie sollte operiert werden. Ich habe aber Bedenken wegen meines hohen Alters. Ich bin im 90zigsten Lebensjahr

Atroskopie Kniegelenk links

Danke
Sehr kompetente Beratung. Man fühlt sich gut aufgehoben. Gute Genesungsfortschritte. Danke

Freundlich und kompetent!
Ich wurde von Beginn an bestens über Vor- und Nachteile der Operation aufgeklärt. Das Ergebnis der Operation hat meine Erwartungen übertroffen: rasch schmerzfrei & beweglich nach Kreuzband-OP!

Neues Leben mit neuer Hüfte
Lieber Dr. Hochgatterer, vielen, vielen Dank für meine neue Hüfte. Ich habe keine Schmerzen mehr und ich kann wieder alles ohne Probleme machen. DANKE

Knieprothese
Am 10.8.22 ein Knieprothese bekommen. Nach 3 Monaten voll beweglich; keine Schmerzen

Hüftendoprothese re
Ich war mit der Betreuung außerordentlich zufrieden!

Knieoperationen
War von Beginn an sehr zufrieden. Sehr kompetente Auskunft erhalten, werde ihn zu 100% weiterempfehlen.

sehr zufriedenstellend
alles gesamt sehr zufriedenstellend!

Kniearthroskopie
Meniskus und Patella OP. Alles bestens!!

Knie OP rechts
Es konnte eine sehr gut Vertrauensbasis aufgebaut werden. Die Erklärungen waren gut verständlich und ich werde immer zufriedenstellend betreut. Die OP ist super verlaufen. Volle Zufriedenheit.

War sehr zufrieden!

Knie OP

Li Knie OP
Bin sehr zufrieden!

Hüftoperation
Nach langer Beschwerdezeit habe ich mich zur OP (Wechsel Hüfte) entschieden. Gottseidank bin ich nun schmerzfrei. Vielen Dank Dr. Hochgatterer

Meniskus OP
War mit Behandlung sowie OP sehr zufrieden! Sollte ich wieder was haben, werde ich wiederkommen.

Operation nach Skiunfall
Lieber Herr Dr. Hochgatterer! Vielen herzlichen Dank für die tolle Knie-Operation (Kreuzband + Meniskusnaht). Die Reha verläuft super & ich kann Sie nur weiterempfehlen! Danke :)

Linksseitiges Hüftgelenk ok.

Neue Hüfte rechts
Nach meiner HüftOP habe ich gar keine Schmerzen mehr! Ich bin sehr zufrieden. Danke Dr. Hochgatterer

Sehr gut
Halbschlitten

Linke Hüfte OP
Sehr zufrieden

Athroskopie beider Knie
Die Operation ist wirklich so gut verlaufen, dass ich 1 Tag nach der OP mit Unterstützung der Krücken allein heim gehen konnte . Ich bin total begeistert. Meine Physiotherapeutin übrigens auch.

Danke
Super Betreuung. Kann alles machen. Danke!

sehr zufrieden!
Neue Hüfte links sehr zufrieden!

Kreuzband Plastik links
Aufklärung war gut. Fühlte mich sehr gut aufgehoben. Auf Fragen wurde bestens eingegangen.

Knie
Sehr schnelle u. gute Betreuung.

Neues Knie
Zwei Monate nach OP Stiege rauf & runter, zwei Stunden wandern ohne Probleme! Sehr informative Beratung, freundlich, umsichtig und umfassend! Ich bin ausgesprochen zufrieden mit Betreuung und Behandlungserfolg

Halbschlitten links
Habe ein halbes Knie vor 3 Monaten bekommen. Es geht mir sehr gut. Vielen Dank Dr. Hochgatterer

Danke
Schmerzfrei nach Infiltrationstherapie! Danke

Danke
Perfekte Betreuung vor OP, bei OP, nach OP. DANKE

Kreuzband OP
Habe mir beim Sport Meniskus und Kreuzband gerissen und wurde von Dr. Hochgatterer operiert. Fühlte mich vor und nach der OP bestens betreut! Alles top!

Hüft Tep beidseits
Fachlich und zwischenmenschlich ein sehr guter Arzt. Vor, während und nach der OP fühlte ich mich gut aufgehoben und in den richtigen Händen. Beeindruckt hat mich insbesondere, dass am Tag der OP Herr Hochgatterer 3 mal zur mir geschaut und nach meinem Wohlbefinden gefragt hat: vor, direkt nach der OP im Aufwachraum und etwas später am Nachmittag. 
Heute sind es auf den Tag genau 4 Monaten her und bis jetzt bereue ich die Entscheidung nicht. Ich kann mich jetzt schon aktiver bewegen wie in den letzten 4 Jahren zuvor, zB. 2h wandern, 1h Ergometer fahren oder gezieltes Krafttraining. Einen Schlussstrich werde ich wahrscheinlich nach einem Jahr machen können, aber mein Zwischenfazit lautet:
Top Operateur mit hoher sozialer und empathischer Komponente!

K-Tep li
Terminvereinbarung und OP wunderbar geklappt. Netter, kompetenter und einfühlsamer Arzt den man nur weiterempfehlen kann!

Kompetent und freundlich
Freundliches und kompetentes Auftreten bei der Untersuchung in seiner Praxis. Danach einwandfreie, super gelungene OP im MedCampus III in Linz.

gut aufgehoben, werde ihn weiterempfehlen
hatte sehr gutes Gefühl. War sehr zufrieden.

Hüft-OP
Terminvergabe + Wartezeit perfekt, sehr netter, kompetenter Arzt. Man fühlt sich gut betreut. Anschließende OP super verlaufen, Nachbehandlung bestens.
 

Arthroskopie Knie
Tagesklinische Arthroskopie am linken Knie. Danke!!! für die gute Betreuung. Ich habe keine Schmerzen mehr.

Athroskopie im Medicent
Vom ersten Kontakt bis zum Abgeben der Krücken und entfernen der Nähte (10 Tage nach der OP) alles perfekt gelaufen.

Arthroskopie & Knorpeltherapie
Wurde von Dr. Hochgatterer operiert, Meniskus OP, dann noch Spritzenkur. Ich kann nun wieder alles machen, habe keine Schmerzen. Das Knie ist top.

Teilprothese (Halbschlitten) Knie
Diagnose + Operation + Nachbehandlung optimal. Kann ich nur weiterempfehlen.

Höchst zufrieden
War höchst zufrieden mit der Behandlung und Betreuung von Dr. Hochgatterer. Bin froh so einen guten Orthopäden gefunden zu haben.

Knie OP/Halbschlitten
Nach Vorsprache wurde entschieden, einen Halbschlitten einzusetzen. OP Termin vereinbart, OP durchgeführt. Alles hat gut geklappt.
 

erfolgreiche Operation
Ich bin überaus zufrieden. Die Mitte Jänner im rechten Knie eingesetzte Halbschlitten-Prothese macht mir kaum mehr Probleme. Ich unternehme bereits kleinere Wanderungen und setze mein Knie im Alltag (unter Wahrung der vorgegebenen Empfehlungen) schmerzfrei ein. Die bestandene Angst vor der OP war völlig unbegründet. Sowohl die Operation als auch der Aufenthalt im Krankenhaus waren optimal.

Operation Haglundferse
Die Operation meiner beiden Fersen vor einem Jahr war sehr erfolgreich! Nachdem ich 3 Jahre lange, viele Therapien und Behandlungen leider erfolglos bei verschiedenen Therapeuten gemacht habe, hat Hr. Dr. Hochgatterer die richtige Behandlung für mich vorgeschlagen. Er hat mich auch sehr professionell beraten und aufgeklärt. Ich kann daher die Ordination Dr. Hochgatterer nur empfehlen und mich nochmal bedanken.

Bin sehr zufrieden
Rechtes Knie eine Halbschlitten Prothese. Bin sehr zufrieden.

Hüftop. 2019 (1.), 2020 (2.)
Alles ist sehr gut abgelaufen! Kann jedem nur empfehlen sich in med. Obhut von Mag.Dr. Hochgatterer zu begeben!!!

Hüft OP links
Perfekte OP, gute Betreuung und Anleitung, schmerzfrei, sehr rasch wieder mobil.

Mein Knie ist wieder in Ordnung
Mein Knie ist wieder in Ordnung. Ab u. zu bisschen Schmerzen. Bin im 3. Stock, ohne Problem zu gehen (ohne Lift). Es ist alles in Ordnung, bin sehr zufrieden. Danke für die gute Betreuung.

Alles bestens!

Halbschlittenprothese rechts und links

Hoch zufrieden Oxford - "Schlittenprothese" rechts!
Großen Dank an den perfekten Operateur OA Dr. Hochgatterer! Vor der Operation hatte ich ziemlich Angst, hatte auch gut 2 Monate nach der Operation eher stärkere Beschwerden. Nur 3 Monate nach Operation bin ich sehr zufrieden! Herr OA Mag. Dr. Rainer Hochgatterer ein großartiger Operateur, sehr einfühlsam, toller perfekter Arzt. Beste Empfehlung an den Operateur! Ich habe mich beim Operateur OA Dr. Hochgatterer sehr gut aufgehoben gefühlt. Besten Dank!

Mikrofrakturierung re Knie
Sehr zufrieden mit der Behandlung. Kompetenz und Fachwissen ausgezeichnet.

Voll zufrieden!
Neues Kniegelenk rechts, voll zufrieden!

Hüfte neu

Kaufm. Angestellte
War sehr zufrieden, der Arzt hatte klare Formulierungen.

Knieendoprothese links
Es ist mir den Umständen entsprechend gut gegangen. Fühlte mich gut aufgehoben und gut informiert.

Perfekte Behandlung
Perfekte Behandlung, perfekte Pflege. OP - keine Komplikationen. Nach Vollnarkose allerdings Schmerzen i.d. HWS noch 3 Mon. danach!!

Linkes Fußgelenk- Arthrose
Sehr intensives Gespräch mit allen Möglichkeiten zur Verbesserung des Fußgelenkes.

Knie OP
Beide Knie gleichzeitig operiert(Knie TEP beidseits). Keine Schmerzen mehr.

gelungene Knieoperation
Beratung durch Dr. Hochgatterer wegen Knieproblemen. Knieendoprothese li Jänner 2017, rechts im Oktober 2018 Dr. Hochgatterer ist einfühlsam u. sehr motivierend! Beide Operationen wurde zu meiner vollsten Zufriedenheit ausgeführt!

Sehr zufrieden

TOP!!!
Knie op TOP!!!

OP am rechten Knie
Nach 5 Jahren Schmerzen und 12 Ärzten endlich schmerzfrei! DANKE

Kann man nur empfehlen
Es wurden beide Knie innerhalb von 5 Jahren operiert. Ein sehr großes Lob an Herrn Hochgatterer & Team. Sehr, sehr lobenswert.

rechtes Knie, Patella OP
Super OP Verlauf, sehr gute Betreuung

Hüft OP
Sehr zufrieden mit Aufenthalt und OP sowie Heilungsverlauf

Alles OK
Knie OP sehr gut verlaufen. Keine Schmerzen, alles OK!

KNIE TEP rechts
War 6 Tage stationär, 10 Tage nach OP keine Schmerzmittel mehr erforderlich, Gelenk funktioniert einwandfrei, 2 Monate nach OP 5-6 km gehen schmerzfrei (fast) möglich. Nach 3 Monaten kaum Einschränkungen im Alltag.

An der rechten Hüfte operiert
Ich wurde am 13. Juni 2018 an der rechten Hüfte operiert. Es geht mir sehr gut.

Rechtes Knie OP. Keine Schmerzen, gute Lebensqualität
Keine Schmerzen. Wiedergewonnene Lebensqualität. Kann wieder radfahren. Mehr Selbständigkeit. Sicherheit im Alltag.

War sehr zufrieden
Behandlung hat bei mir guten Erfolg gebracht.

Sehr zufrieden
Halbschlitten am linken Knie. Sehr zufrieden mit der OP und der anschließenden Kontrolle. Nach 3 Monaten wöchentlich Wanderungen mit ca. 20 Kilometer und meine Highheels kann ich auch schon wieder tragen! Herzlichen Dank Herr Dr. Hochgatterer.

Sehr zufrieden
Sehr zufrieden mit der Kontaktaufnahme nach der OP Kontrolle.

Synovektomie
Pflegerische sowie ärztliche Behandlung ist sehr zufriedenstellend

Super Arzt und super Team
Beste KH Aufenthalt überhaupt vor 10 Jahren, jetzt bei Kontrolle sehr freundlich und kompetent

Knieoperation

Knie OP
Ausführliches Gespräch vor der Knie OP. Bei Nachkontrollen sehr gute Info. Sehr viel Zeit für ein gutes Gespräch. Danke

Sehr gut

Beratung, Behandlung, Operation zur vollsten Zufriedenheit
 

Sehr zufrieden
Sehnenentzündung

Ein wirklich toller Arzt!
Die Behandlung war top! Herr Dr. Hochgaterrer ist vertrauenswürdig und einfühlsam, er nimmt sich Zeit für seine Patienten und hört aufmerksam zu. Die Terminvereinbarung online läuft praktisch und schnell ab. Die Wartezeit ist minimal. Ein wirklich toller Arzt den ich nur weiterempfehlen kann.

Neues Knie
voll zufrieden

Knieendoprothese re.
Nach ausführlicher, gründlicher Beratung erfolgte die OP. Rekonvaleszenzverlauf konnte nicht besser sein. Subjektiver Eindruck absolute Spitzenversorgung. Unbedingt empfehlenswert. Danke!

Beste Betreuung
Beste Betreuung, sehr gute OP

H-TEP links
Hr. Dr. Hochgatterer ist in jeder Hinsicht weiter zu empfehlen. Ich bin in jeder Hinsicht total zufrieden.

Meniskus
Äußerst kompetent!

Bin sehr zufrieden
Bin sehr zufrieden

Ellbogen OP
 

Knieprothese
Mit meiner neuen Knieprothese kann ich endlich alles machen. Herzlichen Dank.

Hüfte und Knie gut
 

Neues Knie - rechts
OP - top verlaufen, neues Knie einfach spitze, kann sämtliche Sportarten betreiben, Skitouren, Bergsteigen, Skifahren, Biken, etc.

Haglundfersen OP beidseits
Die Operation beidseits wurde optimal durchgeführt. Auch die Versorgung im LKH Linz war perfekt! Ich darf wieder laufen! Vielen, vielen Dank!

HTEP
OP HTEP rechts am 7.1.19

Danke
Meine Hüft OP war ein voller Erfolg. Danke!

Hüftprothese rechts
Hüftprothese rechts

Zyste
Entfernung Zyste. Es war alles top.

In bester Ordnung
War mit OP Hüfte und alles sehr zufrieden

Hüft OP rechts
OP am 4.12.18, wenige Schmerzen, 5 Tage Krankenhausaufenthalt. Nach 3 Monaten ein gewohntes Leben wie vor der OP. Danke für die Betreuung!

Hüft-OP links
OP mustergültig durchgeführt, auf Station bereits am 2. Tag schmerzfrei. Physio im Hause (Bau C) durchgeführt. Keinerlei Beschwerden.

Sehr zuverlässig
Sehr zuverlässig. A lässiger Typ da Rainer

Knieprothese
 

Sehr zufrieden
Ich war sehr zufrieden mit den Behandlungen sowie der anschließenden OP. Besten Dank.

HS beidseits
Sehr zufrieden, würde es wieder machen

hüft TEP april 2018
hervorragendes ergebnis, keine bewegungseinschränkung und keine schmerzen auch nach längerer sportlicher betätigung sehr zuverlässiger arzt bezüglich terminvereinbarung, freundlich und vertrauenswürdig

Sehr gute Betreuung
Sehr gute Betreuung und rasche Erledigung

Die Betreuung war perfekt.
Ich kann zur Behandlung nur gratulieren (derzeit). :-) Hatte immer das Gefühl das Richtige gemacht zu haben. Die Betreuung war perfekt.

Hüfte operiert
Hüfte operiert 10/2018 Laufen perfekt

Hervorragende Arbeit
Die Inlayerneuerung beim linken Hüftgelenk wurde so wie bim rechten Gelenk wieder mit dem besten Erfolg durchgeführt. Dr. Hochgatterer hat wieder hervorragende Arbeit geleistet.
Mehr anzeigen

HTEP RE
Von der 1. Ordi über OP und Kontrolle alles Bestens gelaufen. Junger, flotter und sehr kompetenter Arzt.

Hüft OP rechts
OP u. Heilungsphase optimal verlaufen. Kann wieder alles machen (Sport).

Hüftprothese rechts
Bereits 8 Wochen nach der Operation konnte ich ( 72 jährig) eine 4stündige Bergwanderung ohne Probleme durchführen, sowohl schmerzfrei als auch die Muskelkraft betreffend. Ein großes Danke dem Chirurgen

Kreuzband
Neues Kreuzband erhalten

KTEP
Bin im Ganzen sehr zufrieden.

Sehr zufrieden
Halbschlitten bekommen - alles gut vertragen, keine Wundheilungsstörungen, bin sehr zufrieden.

2x Hüft-OP
Alles funkt. wieder bestens; keine Komplikationen. Mit Ergebnis sehr zufrieden. Am Motorrad nicht mehr verkrampft; Dinge (z.B. gewisse Bewegungen) funkt. wieder ohne nachdenken. Keine Probleme im Alltag; hätte es schon früher machen lassen sollen.

ASK Knie
Ich bin sehr zufrieden mit der Behandlung Ich habe volles Vertrauen zu meinem Arzt!
Mehr anzeigen

Knie OP
Wurde bestens betreut, unbedingt weiter zu empfehlen.

OP
Keine Komplikationen nach der OP. Keine starken bzw. unerträglichen Schmerzen. Sechs Wochen nach der OP bin mit zwei Krücken einkaufen gegangen! Vier Wochen nach der OP mit Fitness angefangen!

Hüftprothese beidseitig
Die Behandlung erfolgte sehr zufriedenstellend. Würde jederzeit wieder beide Gelenke gleichzeitig machen.

OP LI Knie
OP Top Med. Betreuung Orth Top REHA im KH Top Nachbetreuung Top

OA Hochgatterer - sehr gut
Ich bin 2017 zum OA Hochgatterer gekommen und habe vom ersten Augenblick Vertrauen gehabt. Er ist kompetent und sehr sehr nett. Die Aufklärung war hervorragend und die OP war sehr sehr zufriedenstellend.

Hüft OP rechts
16.02.2018: Perfekt! Sehr gut verlaufen.

Hüft TEP
16.02.2018: Bin am 21.11. Hüft TEP operiert worden. Alles bestens (beste Betreuung auf der Ortho), nach 3 Tagen auf die RNS überstellt, auch beste Betreuung. Wartezeit auf OP Termin bei Herrn Dr. Hochgatterer - 6 Tage :-)
Ein DocFinder Nutzer

Beide Knie Endoprothese
12.01.2018: 1. Knie 2009, 2. Knie 2010 operiert. Seither alles OK, zur vollsten Zufriedenheit, beschwerdefrei seit der Operation.
Ein DocFinder Nutzer

Beide Hüften wurden gemacht
12.01.2018: Es war die beste Entscheidung, dass beide Hüften gleichzeitig gemacht wurden! Ich kann nicht genug danke sagen!
Ein DocFinder Nutzer

Sehr zufrieden
12.01.2018: Ich bin mit der Behandlung OP Hüfte links u. Knie rechts sehr zufrieden.
Ein DocFinder Nutzer

Toller Arzt
11.01.2018: Toller Arzt, tolle Betreuung, sehr zufrieden!!!!
Ein DocFinder Nutzer

Neues Knieimplantat
24.12.2017: Ich erhielt im Juli 2017 ein neues Knieimplantat. Ich war mit allem sehr zufrieden und bin mittlerweile beinahe beschwerdefrei.
DocFinder Nutzer

Arthroskopie am Knie links
06.12.2017: Die Arthroskopie am linken Knie verlief , trotz meines fortgeschrittenen Alters (71J) so gut, dass ich heute - 8 Wochen nach der OP - meine erste Schitour völlig schmerzfrei absolvieren konnte. Den Erhalt meines rechten Kniegelenks verdanke ich ebenfalls Dr. Hochgatterer, der mir statt einer Operation, dieses durch Bewegungsberatung wieder zur vollen Einsatzfähigkeit gebracht hat. Vielen Dank
DocFinder Nutzer

Linke und rechte Hüftoperation
01.12.2017: ich hatte im Jahr 2012 und 2013 jeweils eine Hüftoperation deren Erfolg ich dem Arzt Mag. Oberarzt Dr. Rainer Hochgatterer zu verdanken habe. Ich laufe wie in jungen Jahren (heute 65Jahre( ohne Schmerzen und bin auch mit den jährlichen Untersuchungen sehr zufrieden. Auf diesem Weg möchte ich mich herzlichst bedanken.
Ein DocFinder Nutzer

Hüftprothese
21.10.2017: Über Empfelung wandte ich mich mit einer fortgeschrittenen Hüftarthrose an Dr. Rainer Hochgatterer. Von Anfang an hatte ich ein positives Gefühl, da mir der Arzt alle Schritte der bevorstehenden OP und der folgenden Zeit verständlich erklärte. Er ging auf meine Fragen umfassend ein, ich hatte nie das Gefühl, dass man schnell abgefertigt wird. Nachdem ich im Med Campus III (früher AKH Linz) von ihm operiert wurde und aus der Vollnarkose aufwachte, hatte ich fast keine Schmerzen. Schon nach einem Tag konnte ich mit Krücken die ersten Schritte wagen. Auch nun hatte ich so gut wie keine Schmerzen. Nach drei Tagen konnten ich das Schmerzmittel absetzen und die Schmerzen der OP hielten sich in Grenzen. Die Wundheilung verlief ausgezeichnet. Nach Unterweisung der Physio konnte ich nach einer Woche das KH verlassen. Ca. 6 Wochen nach der OP konnte ich ohne Krücken gehen. Die altbekannten Schmerzen im Gelenk waren von Anfang an weg. Nach einer 3-wöchigen Reha konnte ich meine Beweglichkeit, mein Gangbild und mein allgemeines Befinden stark verbessern. Nach nun einem Jahr kann ich sagen, dass ich voll zufrieden bin. Ich kann wieder Sport betreiben und habe keine Schmerzen mehr. Vielen Dank.
DocFinder Nutzer

Sehr gut
20.10.2017: Ich habe zwei Halbschlitten bekommen. Es geht mir sehr gut. Ich konnte den ganzen Sommer Golf spielen (10km gehen). Brauche keine Schmerzmittel.
Ein DocFinder Nutzer

Knieprothesen
13.10.2017: Habe zwei Knieprothesen bekommen. Kann wieder alles machen. Dankeschön
Ein DocFinder Nutzer

Herzlichen Dank
06.10.2017: Ich hatte meine Hüft OP am 4. Juli 2017. Es ist alles problemlos, komplikationsfrei verlaufen. Ab Tag 14 nach der OP bin ich bereits ohne Krücken gegangen. Nach REHA in St. Pölten (ambulant) betreibe ich bereits wieder Sport (Radfahren, Wandern, Fitnessstudio). Ich bin sehr glücklich. Ein herzliches Danke an Dr. Hochgatterer.
Ein DocFinder Nutzer

Alles bestens
28.09.2017: Termine, Vorbesprechung bei Arzt, OP, Nachbehandlung - alles bestens! Ein großes :-)
Ein DocFinder Nutzer

Meine Operation u. Aufenthalt, Betreuung im KH
15.09.2017: Als ich 2012 von Beginn an des Arztgesprächs während der OP war ich so optimal und liebevoll betreut, hatte volles Vertrauen das sich bis heute 2017 nicht geändert hat. Ich habe das AKH und seine Operateure vielen Menschen weiterempfohlen.
Ein DocFinder Nutzer

Beidseitige Hüftoperation
08.09.2017: Sehr angenehmes Gesprächsklima - klare Aussagen - hohe Verlässlichkeit - persönliche Präsenz vor und nach der Operation - das Wichtigste: die Operation und die gesamte Rehabilitationszeit sind komplikationsfrei verlaufen und nach drei Monaten ist mein Gangbild schon wieder völlig normal.
Ein DocFinder Nutzer

Kreuzbandplastik
11.08.2017: Es ging mir vom ersten Tag an sehr gut - relativ wenig Schmerzen. Ich hatte nie Probleme bei der Teilbelastung - teilweise Schwellungen. Soweit ich es beurteilen kann, ist der Heilungsverlauf sehr gut. Bin sehr zufrieden.
Ein DocFinder Nutzer

beide Knie neu
11.08.2017: OP war weniger schlimm als befürchtet. Dr. Hochgatterer nahm mir die Angst. Jetzt kann ich wieder alles machen. DANKE
Ein DocFinder Nutzer

Kann Dr. Hochgatterer nur weiterempfehlen
21.07.2017: Am 24.4.2017 wurde eine Knie OP durchgeführt. Schon bei der Terminwahl wurde auf meine Wünsche sehr eingegangen. OP war sehr erfolgreich. Kann Dr. Hochgatterer nur weiterempfehlen.
Ein DocFinder Nutzer

Sehr zufrieden
21.07.2017: Gute Beratung. Sehr zufrieden. Nimmt sich Zeit :-) OP super - auch nachher gute Betreuung!
Ein DocFinder Nutzer

Halbschlitten links
20.07.2017: wurde sehr gut operiert! Ich kann nur "DANKE"! sagen
Ein DocFinder Nutzer

Hüfttotalendoprothese
15.07.2017: Kann als 70igjährige nach der Hüftoperation wieder Wanderungen, Schitouren und alle anderen sportlichen Aktivitäten ohne Einschränkungen ausführen. Auch die postoperativen Kontrollen und das Gymnastikprogramm zur Wiederherstellung der Hüftgelenksfunktion waren sehr hilfreich.
Ein DocFinder Nutzer

Hüftprothese rechts
07.07.2017: Ich wurde von Anfang an super betreut und als Person sehr ernst genommen. Die Operation und Nachbehandlung verliefen problemlos. Ich würde auch in Zukunft bei etwaigem orthopädischen Problem Herrn Dr. Hochgatterer aufsuchen.
Ein DocFinder Nutzer

Revisions K-TEP
07.07.2017: Sehr gut
Ein DocFinder Nutzer

Sehr empfehlenswert H-TEP
07.07.2017: Äußerst kompetente und zeitrationale Betreuung und Behandlung.
Ein DocFinder Nutzer

Halbschlitten beidseits
30.06.2017: Ich wurde im Jahr 2014 von Dr. Hochgatterer an beiden Kniegelenken operiert. Bin seitdem beschwerdefrei. Herzlichen Dank.
DocFinder Nutzer

Knieprotese rechts
23.05.2017: Durch jahrelangen intensiven Sport war im Oktober 2015 eine Knieop unumgänglich. Durch eine Empfehlung kam ich zu Mag. Dr. Rainer Hochgatterer. Die OP ist sehr gut verlaufen und ich kann heute wieder meinem Hobby Tennis voll nachgehen. Kann Hrn. Mag. Dr. Hochgatterer als sehr kompetenten Arzt weiterempfehlen.
DocFinder Nutzer

op Arzt
11.05.2017: Hatte schon länger Knieprobleme und auf der Suche nach einem Arzt wurde mir Dr. Hochgatter empfohlen. Vom ersten Besuch bis zur notwendig gewordenen Knie OP wurde ich von Dr. Hochgatterer bestens beraten und auch die OP wurde zu meiner vollsten Zufriedenheit durchgeführt. Dr. Hochgatterer hat sich sehr viel Zeit, auch nach der OP, genommen und ich kann diesen Arzt mit gutem Gewissen weiter empfehlen.
DocFinder Nutzer

Fachlich sehr erfahren und Freundlichkeit bei der Behandlung
23.04.2017: Spezielle gute Fachkenntnisse im Bezug auf Knie OPs und zur Weiterempfehlung für andere Patienten mit solchen Knieproblemen wie ich.
DocFinder Nutzer

Super Arzt!
17.03.2015: Rascher Termin, ausführliche Untersuchung und Beratung. Sehr freundlich! Alles TOP!
DocFinder Nutzer

Knie-Schlittenprothese
02.03.2018: Ich wurde nach einer langen schwierigen Geschichte am re Knie von Hrn. Dr. Hochgatterer operiert, ich bin 46 J. alt u. war sehr verzweifelt. Jetzt 3 Monate nach der OP kann ich moderat Sport betreiben, brauche keine Schmerzmedikamente u. es geht mir gut. Danke!
Ein DocFinder Nutzer

Knie Prothese rechts
05.04.2018: Erfolgreich 100 Punkte
Ein DocFinder Nutzer
 

Knieoperation
09.04.2018: Schon beim Erstkontakt habe ich volles Vertrauen zu Dr. Hochgatterer aufbauen können. Mir wurde die Operation und das Gelenk anhand eines Modells genau erklärt. Auch alle meine Fragen wurden genau beantwortet. Mit den Nachuntersuchungen (OP voller Erfolg!!) war ich auch sehr zufrieden. Alles in Allem kann ich Hr. Dr. Hochgatterer nur jedem weiterempfehlen.
mike33

Sehr geehrter Hr. Dr. Hochgatterer!
13.04.2018: Dank Ihnen, habe ich am 1.6.2017 und am 8.1.2018 beide Kniegelenke (Prothesen) neu bekommen! Ich war mit dem Ausgang der OP bzw. mit der anschließenden RNS im Bau "D" sehr zufrieden! Es geht mir sehr gut! Danke!
Ein DocFinder Nutzer

Zufriedenstellend
13.04.2018: Die Behandlung des Arztes bei meinem heutigen Besuch an mir war zufriedenstellend, was ich auch zum übrigen Personal sagen kann. Die Wartezeit i.d. Ambulanz ist wie im Haus üblich.
Ein DocFinder Nutzer

Voll in Ordnung
13.04.2018: Hüfte ist wieder voll in Ordnung, kann alles wieder machen ohne Schmerzen (Skifahren, Radfahren,...) Arzt ist weiter zu empfehlen!
Ein DocFinder Nutzer

Hüfte
13.04.2018: kann alle Sportarten ausüben
Ein DocFinder Nutzer

Sehr zufrieden
13.04.2018: Mit der Behandlung von Dr. Hochgatterer bin ich sehr zufrieden u. habe ihn auch an Bekannte u. Verwandte mit gutem Gewissen weiterempfohlen. Ein hervorragender Arzt, der auch auf diverse Wünsche eingeht.
Ein DocFinder Nutzer

Halbschlitten, ganzes Knie
25.04.2018: Beide OP waren erfolgreich. Kann ich nur weiterempfehlen.
Ein DocFinder Nutzer

Danke!
18.05.2018: Seit der OP Knie rechts im Mai 2017 kann ich wieder beschwerdefrei meinen Freizeit Hobbies - Langlauf, Schifahren, Radfahren - nachgehen. Die Arbeitsabläufe im Berufsleben gestalten sich beschwerdefrei. Danke!
Ein DocFinder Nutzer

Knie OP
25.05.2018: Sehr zufrieden!
Ein DocFinder Nutzer

TEP Hüfte links
25.05.2018: Äußerst zufrieden
Ein DocFinder Nutzer

Kompletter Knieersatz
30.05.2018: Erstuntersuchung: keine Wartezeit, sehr kompetent! Nach Vorlage der nötigen Röntgenbilder ausgiebige Beratung und Rat zur OP. OP am 16.4.2018 im AKH Linz. Keine Komplikationen, bereits am 3.Tag nach OP relativ schmerzfrei, konnte bereits mit Krücken alleine gehen. Nach 6 Tagen das Krankenhaus verlassen, zufrieden und glücklich. Jetzt, 6 Wochen nach OP und mitten in der ambulanten Reha, gehe bereits ohne Schmerzen und ohne Krücken. Normales Alltagsleben wieder möglich. Kann Dr. Hochgatterer mit bestem Wissen nur weiterempfehlen. RegR Lehner Manfred
lehmandi

Hüftkopfnekrose - OP
13.06.2018: Nach einer langwierigen, mehrwöchigen Bronchitis, gefolgt von einer sehr schmerzhaften Pleuritis, stellten sich anfangs März 2018 Schmerzen in der linken Hüfte ein, die sich zusehends verschlimmerten. Mag OA Dr Hochgatterer diagnostizierte - nach radiologischen Untersuchungen - eine Hüftkopfnekrose im Stadium Arco III. Nach ausführlichen Erklärungen und Abwägung von Alternativen, entschloss ich mich umgehend für eine Hüftgelenkstransplantation. Mag OA Dr Hochgatterer operierte kurz darauf meine Hüfte auf äußerst professionelle Art und Weise. Am nächsten Tag folgten bereits die ersten Steh- u Gehversuchen auf der orthopädischen Station. Nach einer Woche- Verlegung zur Remobilisation- u Nachsorgestation des AKH zur aktiven Reha. Heute, 5 Wochen postoperativ, gehe ich fast beschwerdefrei und ohne Krücken ! Mag OA Dr Hochgatterer hat einmal mehr seine herausragenden Fähigkeiten als Facharzt u Operateur auf beeindruckende Weise unter Beweis gestellt und ich kann Mag OA Dr Hochgatterer jedem schmerzgeplagten Patienten mit bestem Gewissen empfehlen. Ich bedanke mich für die erfolgreiche Behandlung auf das Herzlichste und wünsche Mag OA Dr Hochgatterer weiterhin viel Erfolg. Friedrich Böh
Ein DocFinder Nutzer

Arthroskopie
15.06.2018: Habe nach der OP keine Schmerzen gehabt. Konnte das Knie auch sehr bald gut abbiegen. War sehr zufrieden.
Ein DocFinder Nutzer

H-TEP re
15.06.2018: H-TEP re
Ein DocFinder Nutzer
 

Hüftprothese
21.06.2018: Herrn Mag Dr. Rainer Hochgatterer kann man voll und ganz weiter empfehlen. Er ist sehr kompetent, menschlich gesehen wie auch vertrauenswürdigund - nimmt sich Zeit für seine Patientenu deren Anliegen. Es wurde alles genau besprochen . Kann man nur weiter empfehlen - sehr zufrieden gewesen.
Linza-Hexerl

Alles bestens!
22.06.2018: Li. Knie Teil-Schlitten
Ein DocFinder Nutzer

Pensionist
22.06.2018: War mit der Behandlung u. OP (Knie) sehr zufrieden. Ich danke Hrn. OA Dr. Hochgatterer.
Ein DocFinder Nutzer

Hausfrau
22.06.2018: Mit der Behandlung u. OP (Hüfte) bin ich sehr zufrieden. Danke Hrn. OA Dr. Hochgatterer.
Ein DocFinder Nutzer

OK
28.06.2018: OK!
Ein DocFinder Nutzer

Rechtes Knie
13.07.2018: Alles OK
Ein DocFinder Nutzer

Danke
13.07.2018: OP + geradestellung vom rechten Knie aus einem X Bein wurde ein gerader Fuß gemacht Man kann Herr OA Dr. Hochgatterer nur bestens weiterempfehlen Danke
Ein DocFinder Nutzer

Sehr positiv
20.07.2018: Sehr positiv!
Ein DocFinder Nutzer

MeniskusOP
24.08.2018: Nach dem MRT-Befund vereinbarte ich bei Dr. Hochgatterer einen Termin (3 Tage nach Anruf). In der Erstordination erklärte er mir den Befund und den Therapievorschlag genauestens, beantwortete alle meine Fragen zum Meniskusriss und zur OP. Die Arthroskopie verlief komplikationslos und der Heilungsprozess verläuft vorbildlich. 2 Monate nach der Meniskusnaht und ich fahre wieder mit dem Rad und mache viel Muskelaufbau. Sehr zu schätzen ist an Dr. Hochgatterer, neben seiner fachlichen Fähigkeit, dass er einem immer auf Augenhöhe begegnet und Probleme verständlich erklärt. Das Vertrauen war von Anfang an da und hat sich bewährt. Falls zukünftig wieder ein Problem auftauchen sollte, werde ich mit Sicherheit wieder die Praxis von Dr. Hochgatterer aufsuchen.
Ein DocFinder Nutzer

Knie TEP
Am Anfang starke Schmerzen, nach 2 Wochen ging es nur noch bergauf. Nach 3 Wochen sehr zufrieden. 

Probleme mit Achillessehne
25.05.2018: Ausführliches Beratungsgespräch. Sehr gute Vorabdiagnose. Sehr zufrieden. Ordinationszeiten für Berufstätige Toll
Ein DocFinder Nutzer

Knickplattfuss
28.12.2017: Sehr ausführliche und kompetente Untersuchung unseres Sohnes (13 J.), hat mir und dem Kind alles genau erklärt! Mehrere Therapievorschläge - auch für Jugendliche umsetzbar! Auch für Kinder und Jugendliche sehr zu empfehlen!!!
Ein DocFinder Nutzer
 

Rund um Ihren Termin

ACHTUNG NEUE ADRESSE:
Hagenstr.10a
4040 Linz

Ordinationszeiten:

Montag, Dienstag und Donnerstag nachmittags nach Vereinbarung